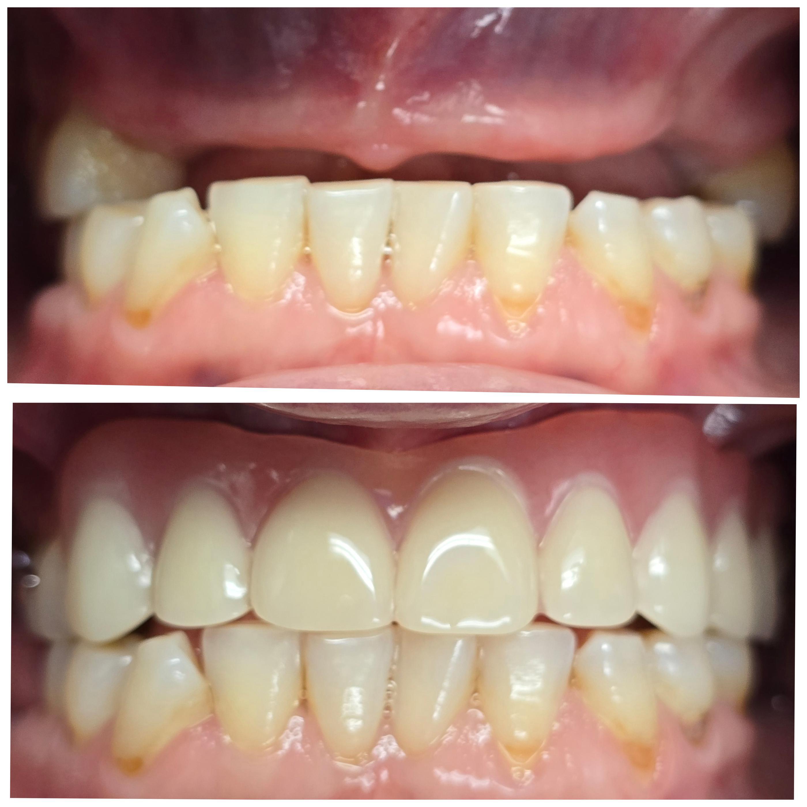
Smile Gallery
Welcome to our Smile Gallery, where transformation stories come to life! At San Pablo Smiles, we take pride in helping our patients achieve the confident, radiant smiles they've always dreamed of. Each set of photos below represents a real patient journey and showcases the skill, artistry, and dedication of our dental team.
From cosmetic enhancements to complete smile makeovers, these before-and-after images highlight what's possible with modern dentistry. Our comprehensive approach includes veneers, crowns, bridges, implants, bonding, and removable prostheses—all customized to meet each patient's unique needs and desires. We believe in providing personalized treatment options that align with both functional requirements and aesthetic goals.
Our patients have graciously allowed us to share their results to inspire others who may be considering similar treatments. Browse through our gallery to see the life-changing results we've helped create. Then imagine what we could do for your smile! Ready to begin your own transformation story? Contact us today for a consultation.

